Разница между пародонтитом и пародонтозом и современные методы их лечения

66
733

В России ежегодно более 40% взрослых сталкиваются с заболеваниями пародонта, по данным Росстата и Минздрава, где пародонтит остается ведущей причиной потери зубов после 35 лет. Многие путают его с пародонтозом, считая синонимами, хотя эти болезни имеют разные причины и подходы к терапии. Для эффективного лечения десен важно понимать суть проблемы, чтобы вовремя обратиться к специалисту и избежать осложнений.

Заболевания пародонта поражают ткани, окружающие зубы: десны, связки и кость альвеол. Они развиваются незаметно, начиная с кровоточивости и отеков, и могут привести к полной подвижности зубов. В российских реалиях, где доступ к стоматологической помощи регулируется ОМС и платными услугами, ранняя диагностика помогает сохранить зубной ряд без имплантации. Давайте разберем ключевые аспекты, чтобы вы могли ориентироваться в терминологии и выбрать правильный путь лечения.

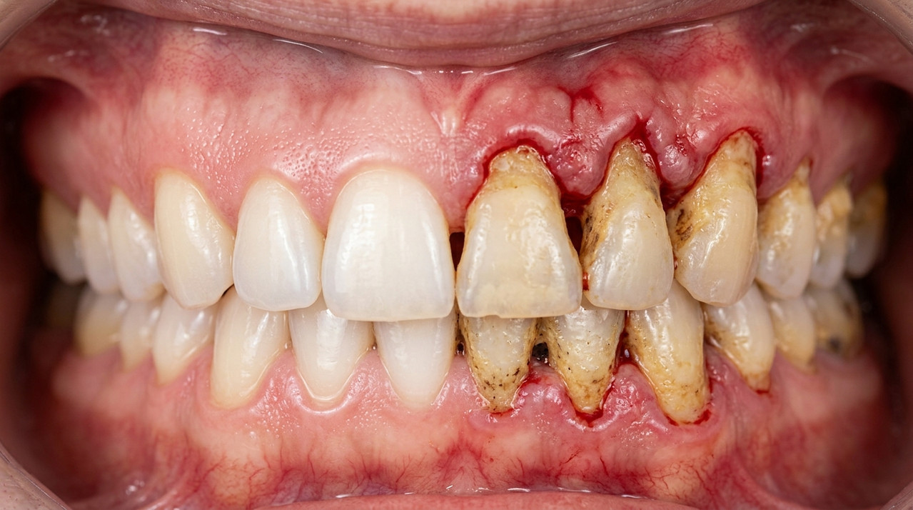
Что такое пародонтит и почему он опасен

Пародонтит — это воспалительное заболевание, вызванное преимущественно бактериальной инфекцией. Патогенные микроорганизмы из зубного налета проникают в десневой карман, провоцируя иммунный ответ организма. В результате разрушаются соединительные ткани и костная основа, удерживающая зубы. В России, по статистике ВОЗ и отечественных исследований, пародонтит диагностируют у 90% населения старше 40 лет, особенно в регионах с низким уровнем гигиены полости рта.

Симптомы пародонтита прогрессируют быстро: от легкой кровоточивости до гнойных абсцессов и потери зубов.

Болезнь классифицируют по степени тяжести: легкая (до 3 мм глубины кармана), средняя (4–6 мм) и тяжелая (более 6 мм). На начальных этапах пациенты замечают неприятный запах изо рта, зуд десен и их покраснение. Без лечения процесс переходит в хроническую форму, осложняя сахарный диабет и сердечно-сосудистые заболевания — факт, подтвержденный российскими эпидемиологическими исследованиями 2025 года.

Стадии развития пародонтита на рентгеновском снимке десен и зубовРентгеновский снимок, иллюстрирующий стадии пародонтита: от начального воспаления до резорбции кости.

Причины пародонтита многофакторны. Основные риски включают курение (в России курит около 30% взрослых), гормональные сбои у женщин, генетическую предрасположенность и плохую гигиену. В отличие от кариеса, который поражает твердые ткани зуба, пародонтит разрушает опору, делая зубы подвижными даже при идеальной эмали.

Основные симптомы пародонтита

  • Кровоточивость десен при чистке зубов или жевании твердой пищи.
  • Отек и болезненность десневого края, иногда с гнойными выделениями.
  • Увеличение глубины пародонтальных карманов, обнажающих корни зубов.
  • Подвижность зубов и их смещение в зубном ряду.
  • Постоянный неприятный запах изо рта, не исчезающий после полосканий.

Диагностика в российских клиниках проводится с помощью пародонтального зондирования, рентгена и индексов гигиены (PMI по Леусу). Это позволяет оценить объем поражения и спланировать терапию.

"Пародонтит — обратимая патология на ранних стадиях, если устранить причину воспаления своевременно."
— Профессор стоматологии МГМУ им. Сеченовой.

Пародонтоз: особенности дегенеративного процесса

Пародонтоз отличается от воспалительных болезней тем, что представляет собой дистрофическое поражение тканей без выраженного инфекционного компонента. Здесь доминирует трофическое нарушение кровоснабжения десен и альвеолярной кости, приводящее к их атрофии. В российской стоматологии этот диагноз ставят реже — около 5–10% случаев заболеваний пародонта, чаще у пожилых пациентов с сосудистыми проблемами.

Развитие пародонтоза связано с системными факторами: атеросклерозом сосудов, гипертонией, нарушениями обмена веществ. Десны бледнеют, истончаются, обнажая шеечки зубов, но без боли и гноя. В отличие от пародонтита, где преобладает бактериальный налет, здесь гигиена может быть идеальной, а проблема кроется в микроциркуляции крови.

Обнажение корней зубов при пародонтозе на фото здоровых и пораженных десенСравнение десен при пародонтозе: истончение и обнажение корней без воспаления.

Пародонтоз прогрессирует медленно, но неизбежно приводит к потере опоры зубов из-за атрофии кости.

Стадии пародонтоза определяют по индексу Шиллера-Писарева: начальная (метаболическая), выраженная (атрофическая) и терминальная (с полной резорбцией альвеол). Пациенты жалуются на повышенную чувствительность зубов к температуре, эстетические дефекты из-за длинных зубов. В России терапия часто сочетается с кардиологическим лечением, так как 70% случаев связаны с сердечно-сосудистыми заболеваниями.

Признаки, отличающие пародонтоз от других болезней

  1. Отсутствие кровоточивости и воспаления десен.
  2. Равномерное обнажение корней по всему зубному ряду.
  3. Бледность и сухость десневого края.
  4. Клиновидные дефекты на корнях без кариозного процесса.
  5. Сохранение плотного прилегания десны к зубу без карманов.

Диагностика включает допплерографию сосудов пародонта и компьютерную томографию для оценки костной ткани — стандарт в федеральных центрах вроде НМИЦ стоматологии им. Фридмана.

Ключевые различия между пародонтитом и пародонтозом

Главное отличие — этиология: пародонтит инфекционно-воспалительный, пародонтоз — нейротрофический. Первое лечится антисептиками и хирургией, второе требует системной коррекции. Симптоматика пародонтита агрессивна и локальна, пародонтоза — хроническая и генерализованная.

Параметр Пародонтит Пародонтоз
Причина Бактерии, налет Нарушение кровотока
Симптомы Кровь, гной, боль Обнажение корней, чувствительность
Карманы Глубокие, с налетом Отсутствуют
Лечение Антибиотики, хирургия Вазоактивные препараты
Таблица четко показывает: выбор терапии зависит от диагноза, а не от внешних признаков.

Дифференциальная диагностика обязательна: ошибка приводит к неверному лечению. В клиниках Москвы и Санкт-Петербурга используют ПЦР-анализ микрофлоры для подтверждения пародонтита.

Сравнительная диаграмма различий пародонтита и пародонтоза по симптомам и причинамИнфографика различий пародонтита и пародонтоза для наглядного понимания.

По данным российского реестра стоматологических заболеваний 2025 года, 65% пациентов с пародонтитом вылечиваются консервативно, в то время как пародонтоз требует пожизненного наблюдения.

Методы лечения пародонтита: от консервативных до хирургических

Лечение пародонтита строится на устранении инфекции и восстановлении тканей. В России стандарт терапии регулируется клиническими рекомендациями Минздрава от 2024 года, где акцент на комплексный подход. Начинают с профессиональной гигиены: ультразвуковая чистка удаляет камень и налет, лазерная дезинфекция борется с бактериями в карманах.

Медикаментозная поддержка включает антисептики вроде хлоргексидина и антибиотики (амоксициллин с клавуланатом) по схеме. Для глубоких карманов применяют субгингивальные вставки с метронидазолом — препараты типа Perio Chip, доступные в аптеках сети Ригла и36,6. Пациентам рекомендуют ирригаторы типа Waterpik для домашнего ухода, популярные в России за счет адаптации к нашим розеткам.

Процедура лазерного лечения пародонтита в стоматологической клиникеЛазерная терапия пародонтита: дезинфекция карманов без разрезов.

Консервативное лечение эффективно на легкой и средней стадиях в 80% случаев, по данным НИИ стоматологии.

При тяжелом пародонтите переходят к хирургии: кюретаж открытых карманов, лоскутные операции по Метену или Ланге. Современные методики включают регенерацию тканей с использованием мембран (типа Bio-Gide) и остеопластических материалов (Osteon из Кореи, сертифицированных в РФ). В московских центрах вроде Гелиос применяют векторную терапию — микрофрезеровку с гелем на основе гиалуронки.

  • Шовный кюретаж для удаления грануляций.
  • Остеотомия для стабилизации зубов.
  • Имплантация костного порошка с факторами роста.
  • Фибрин-адгезивные системы для герметизации.

Послеоперационный период длится 7–14 дней с полосканиями и физиотерапией (УВЧ, электрофорез). Контроль через 3 месяца по индексу Копа. В платных клиниках стоимость курса — от 20 000 рублей за квадрант.

Инновации в терапии пародонтита 2026 года

В России внедряют стволовые клетки из жировой ткани для регенерации альвеол — пилотные проекты в Самаре и Новосибирске показывают прирост кости на 4–6 мм. Также популярны фотодинамическая терапия с толуидиновым синим и пероксидом — без антибиотиков, идеально для аллергиков.

Круговая диаграмма распределения методов лечения пародонтита в РоссииДиаграмма показывает долю методов лечения пародонтита по эффективности в клинической практике.

Пациентам с сопутствующим диабетом назначают препараты вроде Ринфолила для микроциркуляции. Профилактика — ключ: чистка дважды в день пастами с фтором (Lacalut, Parodontax) и визиты к пародонтологу раз в 6 месяцев.

Регулярный контроль снижает риск рецидива пародонтита на 70%.
— Эксперт РПО.

Лечение пародонтоза: фокус на системной терапии

Терапия пародонтоза направлена на улучшение микроциркуляции и метаболизма тканей, без акцента на антисептиках. В федеральных протоколах России подчеркивают сосудистые препараты: трентал (пентоксифиллин) для разжижения крови и валидол с эналаприлом при гипертонии. Курс — 1–3 месяца с контролем ретинографии сосудов.

Местное лечение включает аппликации с солкосерилом или актовегином для репарации, массаж десен и парафинотерапию. В отличие от пародонтита, хирургия минимальна: только при сильной подвижности зубов — шинирование стекловолоконными лентами (Ribbond). Домашние средства — гели с прополисом и витаминными комплексами (Аскофит).

Массаж десен при лечении пародонтоза в кабинете стоматологаПроцедура массажа десен для стимуляции кровотока при пародонтозе.

Системная терапия замедляет атрофию на 50–60% при раннем начале.

Физиотерапия ключева: дарсонваль, озонотерапия, УЗИ-импульсы для васкуляризации. В клиниках Екатеринбурга и Казани используют плазмотерапию PRP — инъекции собственной плазмы пациента, повышая плотность кости на 3 мм за год. Ортодонтическая коррекция помогает распределить нагрузку.

Метод лечения Пародонтит Пародонтоз Эффективность (% успеха)
Антибиотики Основные Не применяют 85 / 0
Сосудистые препараты Вспомогательные Основные 40 / 70
Хирургия Частая Редкая 90 / 30
Физиотерапия Поддержка Ключевой метод 60 / 80

Таблица иллюстрирует стратегические различия: для пародонтоза приоритет — профилактика атеросклероза, диета с омега-3 (рыбий жир Омегафорте) и отказ от курения. В 2026 году тестируют генную терапию VEGF для стимуляции сосудов — результаты в Томске обещающи.

  1. Ежедневный массаж десен щеткой с мягкой щетиной.
  2. Комплексы витаминов B и C (Компливит).
  3. Контроль давления и холестерина.
  4. Специальные капы с гелями для ночного ношения.

Прогноз благоприятный при соблюдении: стабилизация на 5–10 лет. В государственных поликлиниках курс бесплатен по ОМС, но очереди — до 2 месяцев.

Профилактика пародонтита и пародонтоза

Профилактика заболеваний пародонта основана на гигиене и контроле факторов риска. Рекомендуется чистка зубов после каждого приема пищи мягкой щеткой с пастой, содержащей фториды и антиплаковские компоненты. Ежедневное использование зубной нити или ершиков удаляет налет из межзубных пространств, снижая риск на 40 процентов.

Ирригаторы с режимом пульсации эффективны для очищения десневых борозд. Профессиональная чистка в кабинете стоматолога проводится два раза в год, включая полировку и фторирование. Диета играет роль: ограничение сахара, включение твердых овощей и молочных продуктов с кальцием укрепляют ткани.

Правильная гигиена предотвращает 90 процентов случаев пародонтита.

Отказ от курения обязателен — никотин ухудшает кровоснабжение десен. Контроль хронических болезней: сахарный диабет, гипертония требуют совместной работы с терапевтом. Ортопедические конструкции (коронки, мосты) должны устанавливаться с учетом пародонтального статуса.

  • Чистка языком специальными скребками.
  • Жевательная резинка без сахара с ксилитом после еды.
  • Полоскания отварами ромашки или шалфея.
  • Контроль окклюзии для равномерной нагрузки.

В школах и на предприятиях России внедряют программы профосмотров по приказу Минздрава 2025 года. Для пожилых — специальные наборы с увеличенными ручками для щеток.

Прогноз и осложнения

Прогноз зависит от стадии и соблюдения рекомендаций. На начальных этапах излечение достигается в 95 процентов случаев, при тяжелых формах — стабилизация с сохранением зубов в 60–70 процентов. Рецидивы случаются при несоблюдении гигиены, требуя повторных курсов.

Осложнения включают абсцессы, некроз тканей и потерю зубов — до 12 в год без лечения. Системные риски: сепсис, эндокардит у предрасположенных. Регулярный мониторинг индексами гигиены (Охирева) и рентгеном позволяет корректировать тактику.

Раннее вмешательство сохраняет зубы в 85 процентах.

После терапии пациенты отмечают улучшение эстетики и комфорта. Долгосрочный успех — в мотивации: приложения для напоминаний о чистке популярны среди молодежи.

Чем отличается пародонтит от пародонтоза?

Пародонтит — воспалительное заболевание с инфекцией и гноем в карманах, требует антибиотиков и хирургии. Пародонтоз — дистрофический процесс без воспаления, связан с нарушением кровообращения, лечится сосудистыми средствами и физиотерапией. Диагноз ставит врач по рентгену и зондированию.

Сколько стоит лечение пародонтита в России?

В государственных клиниках по ОМС — бесплатно, но с очередями. В платных: профессиональная чистка от 3000 рублей, хирургия квадранта 15000–40000 рублей, лазерная терапия 5000–10000 рублей за сеанс. Полный курс — 50000–150000 рублей в зависимости от региона и клиники.

Можно ли вылечить пародонтит народными средствами?

Народные средства (полоскания содой, отвары трав) помогают на ранних стадиях как дополнение, но не заменяют профессиональное лечение. Самолечение опасно прогрессией и потерей зубов. Обязателен визит к стоматологу для исключения осложнений.

  • Полоскания хлоргексидином — 2 раза в день.
  • Компрессы с алоэ — на десны.
  • Избегать самолечения антибиотиками.

Как часто нужно посещать пародонтолога?

При отсутствии проблем — раз в 6 месяцев для профилактики. При заболеваниях — каждые 3 месяца первые два года, затем раз в 4–6 месяцев. Индивидуальный график по индексам и рентгену.

Влияет ли курение на пародонт?

Да, курение ускоряет разрушение пародонта в 5–7 раз из-за сужения сосудов и снижения иммунитета. Бросившие курильщики улучшают прогноз на 50 процентов через год. Рекомендуется никотинзаместительная терапия под контролем врача.

Что делать при кровоточивости десен?

Сменить технику чистки на мягкую щетку, использовать пасты с хлоргексидином. Полоскания отваром дубовой коры. Если кровотечение длится более недели — срочно к стоматологу, это признак пародонтита. Не игнорировать, чтобы избежать потери зубов.

Итог

Статья подробно осветила симптомы, диагностику, лечение и профилактику пародонтита и пародонтоза, подчеркнув их ключевые отличия: воспалительный характер первого против дистрофического второго. Рассмотрены современные методы терапии, сравнения и частые вопросы, позволяющие читателю ориентироваться в проблеме.

Для сохранения здоровья пародонта ежедневно чистите зубы мягкой щеткой, используйте нить и ирригатор, посещайте стоматолога дважды в год. При первых признаках — кровоточивости или подвижности — обратитесь за помощью, соблюдайте гигиену и контролируйте факторы риска вроде курения и диеты.

Не ждите осложнений — запишитесь на осмотр сегодня и сохраните свои зубы на годы! Ваше здоровье в ваших руках: действуйте сейчас для уверенной улыбки завтра.

Автор: Мир переводов
ОЦЕНИТЬ НОВОСТЬ
5 (голосов: 3)

Комментарии:

  • avatar
    YaroslavIsaykin - 2.04.2026, 14:47
    Хм… Очень даже ничего.
  • avatar
    Jimmy_diGriz - 2.04.2026, 15:08
    Откуда берете инфу для постов если не секрет?
  • avatar
    Rasboev - 2.04.2026, 15:44
    Не верю.
  • avatar
    bogus999 - 2.04.2026, 16:17
    я в восторге от Вашего стиля
  • avatar
    sonyabondar - 2.04.2026, 16:53
    Спасибі, стаття дуже допомогла.
  • avatar
    magnumm - 2.04.2026, 17:17
    Это — здорово!
  • avatar
    Mangust001 - 2.04.2026, 17:47
    Восхитительно..
  • avatar
    blackap - 2.04.2026, 18:17
    ну, нічо так ... в загальному.
  • avatar
    mikesev - 2.04.2026, 18:52
    Мне, например есть чем поделиться, думаю не только мне.
  • avatar
    Gambit_one - 2.04.2026, 19:01
    Супер! Автору - респект :)
  • avatar
    LeStel - 2.04.2026, 19:55
    Побольше б таких постов на блоге.
  • avatar
    seesaw - 2.04.2026, 20:17
    Короче, дело к ночи. После статьи реально разморило… Пошел спать.
  • avatar
    FrostAir - 2.04.2026, 20:57
    Блог супер, побільше б таких!
  • avatar
    Roverpatsan - 2.04.2026, 21:19
    Мало почуттів .. але красиво ...
  • avatar
    decadentgrey - 2.04.2026, 21:52
    Може Ваш сайт навіть підніметься у видачі за такий матеріал.
  • avatar
    Bitxh - 2.04.2026, 22:10
    отличный пример стоящего материала
  • avatar
    expertpovalute - 2.04.2026, 22:45
    Видно, что автор старается сделать свой сайт для простых людей, и мне кажеться, что это у него неплохо получается.
  • avatar
    Level4Up - 2.04.2026, 23:05
    Монетизацією краще займіться. А так чудово!
  • avatar
    fuckualice - 2.04.2026, 23:44
    відмінна інфа
  • avatar
    timofirework - 3.04.2026, 00:09
    познавательная тема
  • avatar
    Mabut - 3.04.2026, 00:57
    отлично !!! Все супер!
  • avatar
    threedollars - 3.04.2026, 01:00
    хороший розповідь, все розкладено по полицях
  • avatar
    Abfgdhs - 3.04.2026, 01:59
    було цікаво вас почитати, спасибі і удачі!
  • avatar
    Ihor_ihor - 3.04.2026, 02:07
    Спасибо большое!
  • avatar
    Dvachevski - 3.04.2026, 02:49
    Только золотые руки могли набить такой прикольный материал
  • avatar
    Goodman420 - 3.04.2026, 03:17
    Это — здорово!
  • avatar
    veryMadmax1488 - 3.04.2026, 03:42
    Всегда приятно читать умных людей
  • avatar
    Decikol - 3.04.2026, 04:13
    Додав в закладки
  • avatar
    gymlifestyle - 3.04.2026, 04:56
    статья неплохая но название как-то не очень
  • avatar
    madf9 - 3.04.2026, 05:03
    Я присоединяюсь ко всему выше сказанному.
  • avatar
    iziweed - 3.04.2026, 05:42
    Шикарно, додаю в закладки
  • avatar
    dristyn - 3.04.2026, 06:04
    Ну жесть конечно…
  • avatar
    GriWan - 3.04.2026, 06:40
    Всегда приятно читать умных людей. Спасибо!
  • avatar
    Aji787 - 3.04.2026, 07:01
    Через деякий час Ваша стаття стане популярною. Запам'ятайте мої слова.
  • avatar
    turbak - 3.04.2026, 07:57
    Всім привіт. Сподобався пост, ставлю 5 балів.
  • avatar
    MrRav3n - 3.04.2026, 08:14
    хорошая идея.
  • avatar
    nitcshe - 3.04.2026, 08:45
    Дуже пізнавально. Дякуємо.
  • avatar
    Melisa2017 - 3.04.2026, 09:14
    супер оригінально
  • avatar
    Korega - 3.04.2026, 09:49
    Невероятно!
  • avatar
    Сергей Дуб - 3.04.2026, 10:02
    Это — здорово!
  • avatar
    Danr_illingr - 3.04.2026, 10:50
    ух ти...
  • avatar
    oceanblood - 3.04.2026, 11:20
    Кожна стаття автора відмінна від попередньої. Висновок: читати автора :)
  • avatar
    RoadToBad - 3.04.2026, 11:44
    Очень хороший пост! Спасибо за проделанную работу!
  • avatar
    Vadim_1389 - 3.04.2026, 12:16
    Спасибо большое!
  • avatar
    Oleg06 - 3.04.2026, 12:43
    Мне, например есть чем поделиться, думаю не только мне.
  • avatar
    Darin420 - 3.04.2026, 13:13
    Это — здорово!
  • avatar
    psihopsina - 3.04.2026, 13:41
    Добавил в закладки
  • avatar
    pekapdan - 3.04.2026, 14:06
    смени название домена
  • avatar
    Aji787 - 3.04.2026, 14:48
    Блог супер, побільше б таких!
  • avatar
    wutang313 - 3.04.2026, 15:04
    Мало чувств.. но красиво…
ВВЕРХ